-
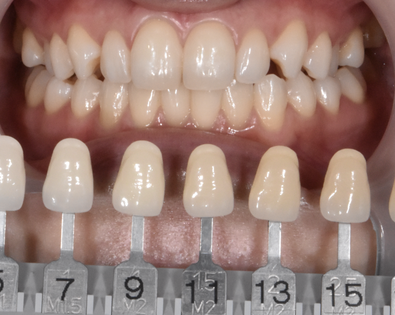
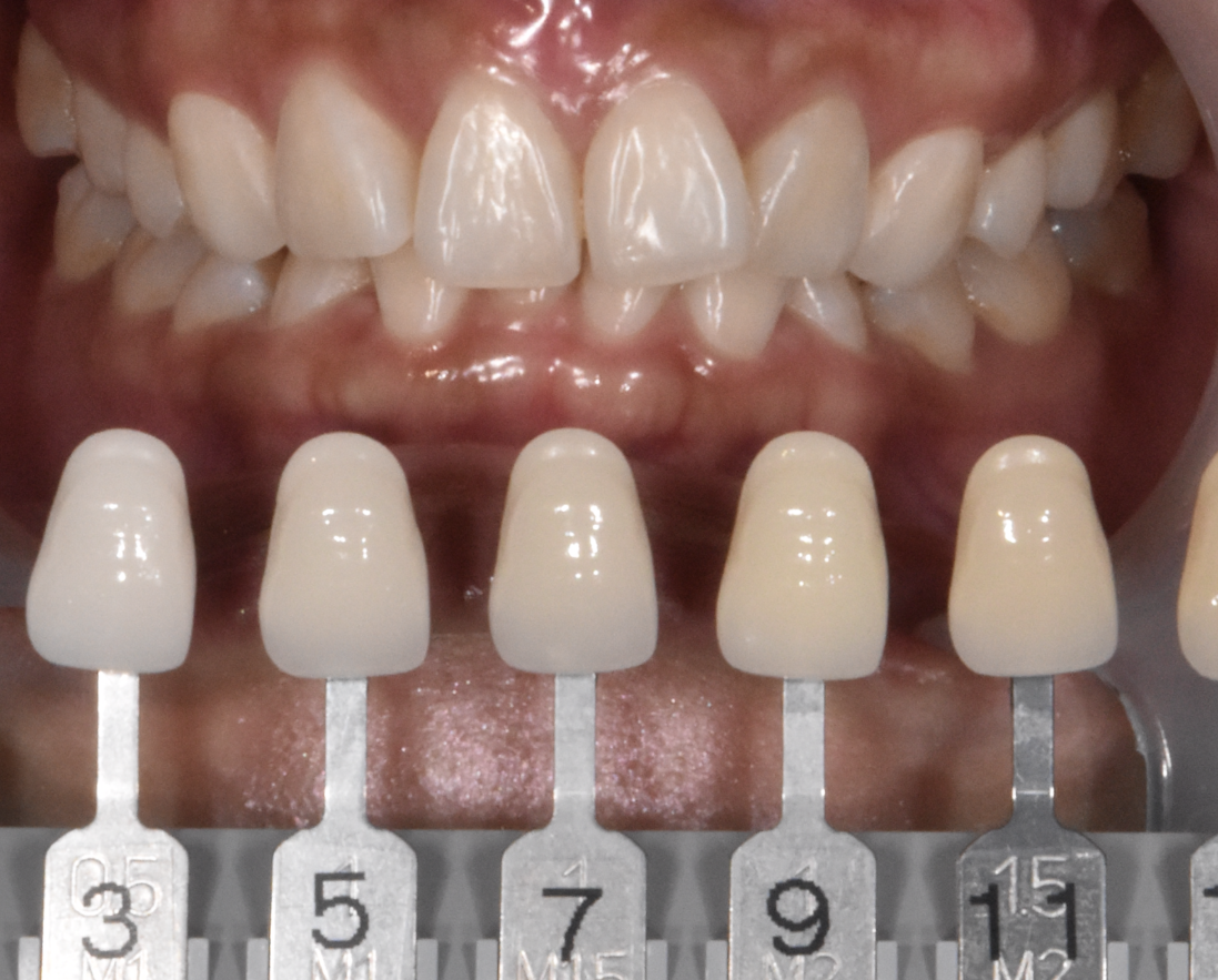
トランセント ホワイトニング症例158
- 治療前

- 治療後

性別:女性 / 年齢:20代
概要を見る詳しくみる主訴 歯の黄ばみを主訴に来院 トランセントホワイトニングご希望の患者様
治療内容 照射時の熱による軽度の歯肉の炎症及び痛みが出る場合があります
※炎症は1週間以内に引きます
※照射角度を調整することで、即時に痛みを緩和できます治療に伴うリスク 照射時の熱による軽度の歯肉の炎症及び痛みが出る場合があります
※炎症は1週間以内に引きます
※照射角度を調整することで、即時に痛みを緩和できます -
トランセント ホワイトニング症例160
- 治療前

- 治療後

性別:女性 / 年齢:30代
概要を見る詳しくみる主訴 全体の着色が気になり来院。トランセントホワイトニングを希望された患者様です。 治療内容 トランセントホワイトニング前にEXクリーナーを使用
トランセントホワイトニング施術
術後の知覚過敏及び、歯肉炎症なし
治療に伴うリスク 照射時の熱による軽度の歯肉の炎症及び痛みが出る場合があります
※炎症は1週間以内に引きます
※照射角度を調整することで、即時に痛みを緩和できます